Úvod / O nás / Ocenění / O Alzheimerově nemoci / Podpora projektů / Odkazy / Trénování paměti / V médiích / Kontakt       EN
Testy / Dotazníky / Vzdělávací kurz / Zobrazení mozku / Neuropsychologie / Neurochemie / Studentské práce / Publikace
RESPA – Jakou máte paměť? / Výzkum paměti a spánku / Osvětové přednášky / Ordinace v ČR / Poradna pro pečující

 
 
     

Poznejte demenci správně a včas
Příručka pro klinickou praxi

doc. MUDr. Aleš Bartoš, Ph.D.
PhDr. Martina Hasalíková
Rozhovor s doc. Bartošem,
Recenze

O Alzheimerově nemoci

Ztvárnění poruchy paměti v krátkém němém filmu Medvídek (v úvodu jsou záběry, jak vypadá vyšetření magnetickou rezonancí mozku)

Diagnostika

Abychom mohli rozpoznat příčinu poruch paměti, řeči a dalších duševních schopností, provádíme podrobné vyšetřování. Díky podpoře různými grantovými prostředky a širokému výzkumnému zázemí si můžeme dovolit nabídnout nadstandardní diagnostické možnosti. Některé výkony nejsou hrazeny zdravotními pojišťovnami. Současně byl vybudován tým kvalifikovaných spolupracovníků, kteří jsou speciálně erudováni a zaměřeni na tématiku neurodegenerativních onemocnění.

K hodnocení každodenních aktivit pacientů s Alzheimerovou nemocí jsme do rutinní praxe zavedli dotazníky FAQ-CZ a DAD-CZ, které vznikly při výzkumné činnosti AD Centra. O jejich vlastnostech je možné se dočíst v odborných článcích FAQ-CZ a DAD-CZ. V jiném odborném článku jsme shrnuli, jak vnímá pečovatel svého blízkého s Alzheimerovou nemocí. Současně rádi používáme krátký dotazník GDS na zhodnocení nálady, který pochází z Ambulance pro poruchy paměti.

K diagnostice používáme ve vybraných případech Addenbrookský kognitivní test ACE-R, který uvedli v roce 2008 do českého prostředí někteří členové Sekce kognitivní neurologie. Od roku 2010 je k dispozici revidovaná verze ACE-R 2010, na jejímž vzniku se podíleli především členové AD Centra.

Kromě klinického neurologického vyšetření opíráme diagnostiku neurodegenerativních onemocnění mozku o tato další vyšetření:

1. vyšetření mozkomíšního moku a krve

Detekcí určité koncentrace 3 bílkovin (tau, fosfotau, beta-amyloid) v mozkomíšním moku oproti obvyklým hodnotám můžeme změnit pravděpodobnost, zda dotyčný trpí Alzheimerovou nemocí, a to dokonce již v časných stadiích. Mozkomíšní mok zpracováváme v likvorové laboratoři Neurologické kliniky UK 3. LF a FNKV a v Národním ústavu duševního zdraví – Výzkum neurobiologie stárnutí, závislostí a závažných duševních poruch. Odběr se provádí jako jednorázové ambulantní vyšetření speciální tenkou speciální jehlou. Podrobnosti postupu jsou uvedeny zde.

Duševní výkon může být porušen různými příčinami. Oslabení duševních schopností způsobuje často Alzheimerova nemoc a řada dalších degenerativních onemocnění mozku nebo poruchy cévního zásobení mozku (lidově tzv. ateroskleróza mozku). Uvažuje se i o dlouhodobé boreliové infekci z klíšťat. Při degeneraci mozku se některé bílkoviny špatně svinou či složí v prostoru. Lze si to nejlépe představit, jako když se zahřívá vajíčko. Přitom se průhledný tekutý bílek mění na bílou rosolovitou hmotu a řídký žloutek na tuhou kouličku. Stále vajíčko obsahuje tytéž bílkoviny a další struktury v bílku a žloutku, ale v jiné formě. K podobným pochodům dochází při některých nemocech mozku. Bílkoviny mozku vytvoří na určitých místech sraženiny různého typu (viz obrázek z mozku pacienta s Alzheimerovou nemocí níže). Tento proces si lze představit jako zanášení mozku sazemi. Podobně jako moře obklopuje pevniny, je také mozek omýván tekutinou, která se nazývá mozkomíšní mok. Do něho se mohou dostávat bílkoviny – saze, které v něm plavou. Pokud odebereme vzorek mozkomíšního moku, máme možnost změřit tyto bílkoviny – saze. Jsou 3: tau protein, fosforylovaná forma tau proteinu a beta-amyloid. Podle jejich množství můžeme zvýšit nebo zmenšit pravděpodobnost, že se jedná o Alzheimerovu nemoc. Výhoda tohoto postupu spočívá ve dvou oblastech:

1) přesnější rozpoznání nemoci a odlišení jiných nemocí, které mohou mít podobné příznaky
2) časnější rozpoznání nemoci ve fázi, kdy nemusí být příznaky ještě typicky vyjádřeny. Tím je možné zahájit léčbu dříve.

Druhou možností bez informace o těchto bílkovinách v mozkomíšním moku je vyčkávací postup, jak se příznaky budou dále vyvíjet. Pokud se nakonec za několik měsíců či let ukáže, že se jedná o Alzheimerovu nemoc, promarní se tím drahocenný čas, ve kterém se může postup nemoci brzdit účinnými léky.

Vyšetření mozkomíšního moku na 3 bílkoviny se stalo součástí moderních diagnostických kritérií Alzheimerovy nemoci (Dubouis et al., 2007). Jak jsme sami zjistili, v Evropě je to běžně používaná metoda (Hort, Bartoš et al., 2010). Podrobnosti lze nalézt na našich webových stránkách, sekce Publikace. V České republice toto vyšetření není bohužel hrazeno z prostředků všeobecného zdravotního pojištění. Proto ho nabízí jen několik málo pracovišť, pokud má na to nějaké grantové prostředky. V našem centru probíhá současně několik výzkumných úkolů, mj. i na stanovení významu mozkomíšního moku v diagnostice Alzheimerovy nemoci. Jedině tak je možné čerpat výhodu tohoto vyšetření. Shromažďujeme vzorky mozkomíšního moku asi od 40 osob, aby byla využita celá kapacita vyšetřovací destičky, než vzorky začneme analyzovat. Vždy se použije jedna destička na vyšetření jednoho typu bílkoviny. Všechny 3 destičky na stanovení 3 bílkovin stojí kolem 100 tis. Kč bez započítání času a intelektuálního úsilí řady osob podílejících se na této tématice. Výsledky je možné očekávat v horizontu 1/2–1 roku, než se získá potřebný počet vzorků.

Obrázek mikroskopických změn mozku u pacienta s Alzheimerovou nemocí a srovnání s normálním stavem u zdravého člověka:

2. Vyšetření magnetickou rezonancí mozku

Magnetická rezonance (MR) mozku zobrazuje strukturu a velikost celého mozku či jeho částí. Nás speciálně zajímají cévní změny a oblast struktury zodpovědné za paměť – tzv. hipokampu. Hipokampus připomíná svým tvarem mořského koníka, a proto tato část mozku získala toto označení a naše AD Centrum si ho zvolilo do loga.

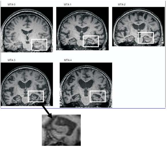
Při výzkumné činnosti jsme adaptovali zahraniční systém hodnocení velikosti hipokampu pomocí tzv. skóre MTA (mediotemporální atrofie). Skóre je podobné známkování ve škole od 0 (nejlepší, normální objem hipokampu) do 4 (nejhorší, scvrklý hipokampus). Zkušenosti s tímto typem hodnocení jsme zveřejnili v odborném článku a nyní ho používáme již rutinně. Naše práce na měření objemu hipokampu získala cenu za nejlepší plakátové sdělení na kongresu v Nice, 2008.

Níže uvádíme příklady různě objemných hipokampů na obrázcích z MR mozku.
Ukázkové snímky MR mozku z naší činnosti se všemi 5 stupni mediotemporální atrofie (MTA) od žádné (0) až po masivní (4).

Při vyšetření magnetickou rezonancí se osoba nachází v silném magnetickém poli. Vyšetření je nebolestivé. Vyšetření je provázeno silným klepáním (údery) a někdy je v místnosti chlad. Je nutné ležet zcela klidně v tunelu přístroje, bez pohybu, je dokonce možné usnout. Každý pohyb znehodnotí výsledek vyšetření. Vleže v ”tunelu” se získávají podrobné obrázky mozku podle odlišných magnetických vlastností různých oblastí. Před vyšetřením je nutné odložit: hodinky, klíče, drobné kovové mince, šperky, vlásenky, naslouchadla, brýle, kontaktní čočky, zubní protézy, kreditní karty (magnetické karty všeho druhu), mobilní telefony, fixační dlahy, protetické pomůcky (ortézy) apod. Toto vyšetření nelze provést u osob s přítomností kovových materiálů vč. kardiostimulátoru v těle!

3. Vyšetření SPECT mozku

Na rozdíl od MR mozku poskytuje SPECT vyšetření mozku nový pohled na mozek. Zachycuje prokrvení a s ní související funkci dané části mozku, což se převádí do barevných map. Tak je možné sledovat oblasti mozku s dobrým nebo horším prokrvením a metabolickou aktivitou. Před vyšetřením se podává Chlorigen k zabránění hromadění vyšetřovací látky ve štítné žláze a slinných žlázách. Není nutné být nalačno. Po 10-15 minutách setrvání v klidu se podává vyšetrovací látka do žíly. V následujících asi 20 minutách se vleže v „tunelu“ zaznamenávají obrazy prokrvení mozku. Podrobnější informace o tomto vyšetření najdete zde.
O našich letitých zkušenostech jsme referovali v odborném článku.

Ukázkové snímky SPECT mozku z naší činnosti s perfúzním vzorcem typickým pro Alzheimerovu nemoc jako AN, pro vaskulární demenci jako VD (MID), pro smíšenou demenci jako MIX a normálním nálezem (N). Bližší definice perfúzních vzorců je v textu.

<<nahoru


Léčba

V poradně probíhá léčba kognitivních poruch a Alzheimerovy nemoci ověřenými léky, především memantinem a inhibitory acetylcholinesterázy.
Pro léčbu těmito nákladnými léky byla stanovena pojišťovnami tato kritéria s účinností od 1. 4. 2010:

  1. lék může napsat neurolog, psychiatr nebo geriatr
  2. pacient musí trpět Alzheimerovou nemocí
  3. bodové hodnocení v orientačním testu MMSE musí být mezi 25–6 body pro léčbu inhibitory acetylcholinesterázy (originální přípravky Aricept, Exelon, Reminyl a jejich generické verze) a 17–6 bodů pro léčbu memantinem (originální přípravek Ebixa a jeho generické verze).

Přesná stávající verze pojišťoven zní:
Inhibitory acetylcholinesterázy (IAchE) předepisuje neurolog, psychiatr nebo geriatr pacientům, u kterých je diagnosticky vyloučena demence jiného typu než Alzheimerova a potvrzena diagnóza Alzheimerovy demence (ACH) se stupněm postižení vyjádřeným dle škály MMSE (Mini-Mental State Examination) v rozmezí dosaženého skóre 25–13 bodů včetně. Po 12 týdnech (3 měsíce) od zahájení podávání IAchE je provedeno další vyšetření pacienta škálou MMSE. Léčba IAchE je indikována při setrvání skóre, nebo jeho poklesu o nejvíce 2 body ve srovnání s hodnotou MMSE dosahovanou pacientem před zahájením léčby IAchE. Další kontroly MMSE jsou prováděny nejméně po každých 3 měsících léčby. Léčba IAchE není indikována u pacientů, u nichž po 6, 9 atd. měsících od zahájení léčby nedojde k objektivně prokazatelnému terapeutickému účinku (tj. zastavení progrese anebo pokles menší než 2 body dle škály MMSE oproti původnímu stavu) a dále při zjištěném skóre škály MMSE 12 bodů. Tato kritéria se vztahují i na léčbu pacientů trvající v rámci stanovených kritérií déle než 9 měsíců.
Rivastigmin předepisuje neurolog, psychiatr nebo geriatr u pacientů s mírnou a středně závažnou demencí u pacientů s idiopatickou Parkinsonovou chorobou.

Memantin předepisuje neurolog, psychiatr nebo geriatr pacientům, u kterých je diagnosticky vyloučena demence jiného typu než Alzheimerova a potvrzena diagnóza Alzheimerovy demence (ACH) se stupněm postižení vyjádřeným dle škály MMSE (Mini-Mental State Examination) v rozmezí 17-6 bodů. Po 12. týdnech (3 měsíce) od zahájení podávání memantinu je provedeno další vyšetření pacienta škálou MMSE. Léčba memantinem je hrazena z prostředků zdravotního pojištění při setrvání skóre, nebo jeho poklesu o nejvíce 2 body ve srovnání s hodnotou MMSE dosahovanou pacientem před zahájením léčby memantinem. Další kontroly MMSE jsou prováděny nejméně po každých 3 měsících léčby. Léčba memantinem není indikována u pacientů, u nichž po 6, 9 atd. měsících od zahájení léčby nedojde k objektivně prokazatelnému terapeutickému účinku (tj. zastavení progrese anebo pokles menší než 2 body dle škály MMSE oproti původnímu stavu) a dále při zjištěném skóre škály MMSE pod 6 bodů škály. Tato kritéria se vztahují i na léčbu pacientů trvající v rámci stanovených kritérií déle než 9 měsíců.

Podrobnosti lze nalézt v odborném článku. (Souhlas s vystavením tohoto článku na našich internetových stránkách dala Ing. Jarmila Hedánková za redakci Causa subita e-mailem dne 25.3. 2009). Další informace o všech lécích je možné nalézt zde.

Denní péče v Klecanech

Nabízíme Vám kvalitní komplexní denní péči o pacienty s Alzheimerovou nemocí v moderním Denním stacionáři v Klecanech. Více informací naleznete zde.

 

Poradna pro pečovatele - když si nevíte rady s péčí o Vašeho blízkého

V roce 2009 se z Poradny pro poruchy paměti díky laskavé podpoře vedení Neurologické kliniky a FNKV vydělila poradna pro pečovatele. Vzniklo tak komplexní spojení lékařské péče doplněné o služby psychosociálního poradenství pro pacienty s kognitivními poruchami a Alzheimerovou nemocí. Toto sepjetí je v ČR ojedinělé.

Cílové skupině pečovatelů a blízkých se věnuje PhDr. Martina Krynská  (roz. Hasalíková), která se díky sesterské práci s klienty Poradny pro poruchy paměti mohla důkladně seznámit s problematikou dopadu Alzheimerovy nemoci na rodinný systém. S podrobnou nabídkou služeb je možné se seznámit na samostatných stránkách Poradny pro pečovatele.

<<nahoru

 


Počet přístupů od 28. 12. 2015:TOPlist